Anna House Dental Practice

Slide 1
Scale and Polish in Tottenham, North London

Maintaining healthy teeth and gums

Deep cleaning to prevent decay and gum disease
AirFlow cleaning available to remove surface stains
Advice on optimising your oral health

Anna House Logo icon

Dental Scale and Polish in London, Tottenham

If you’re looking for a highly rated and experienced dental hygienist in London, our friendly and modern clinic in Tottenham, North London, can help.

Our hygiene appointments are an excellent way to maintain oral health and keep your smile looking its best.

In addition, regular visits to the practice for expert teeth cleaning, such as scaling and polishing, can help protect against a wide range of dental problems.

dental hygienist tottenham north london
dental hygienist near me tottenham north london

Ready to book your oral hygine appointment?

Call the practice today on one of the following numbers. Alternatively please use the enquiry form below.

English

Polish

Spanish & Portuguese​

Why choose us for your Dental hygine

Anna House Logo icon

DeNTal hygiene treatment prices

Hygiene & Periodontal Care Price List

Cost

New Patient Hygiene Visit

For new patients seeing our hygienist for the first time. Includes a routine clean, home care advice, and recommendations for further treatment if needed.

£85

Routine Dental Hygiene Appointment


For patients with stable oral health. Includes a standard scale and polish to maintain gum health, plus tailored home care advice.

£69

Hygiene Periodontal Maintenance


A tailored hygiene appointment for patients with a history of periodontal disease that is currently stable or in remission. This maintenance session supports long-term gum health and prevents relapse, helping to preserve oral health.

Recommended at regular intervals as part of ongoing periodontal care.

£99-£120

Air Polishing Top-Up:

Polish using the latest air polishing systems to remove stains for a whiter smile. This can be added to any of our teeth cleaning services.

£29

Periodontal Consultation

A full assessment for patients with signs of periodontal disease. Includes:

  • Comprehensive gum health evaluation
  • Plaque and bleeding scores
  • X-rays (if required)
  • Oral hygiene instruction
  • Personalised treatment plan
  • £85

    Non-surgical periodontal treatment

    For patients with unstable or advanced gum disease.

  • Involves subgingival instrumentation to remove plaque and calculus from root surfaces
  • Can be done under local anaesthetic for comfort
  • Typically completed over 1, 2, or 4 appointments, depending on severity
  • Includes home care advice and a follow-up periodontal review
  • £180 per arch

    Periodontal Review

    Follow-up appointment after periodontal treatment to review healing, monitor gum health, and update the maintenance plan.

    £69

    Guided biofilm therapy

    This is for patients who would like to experience our GBT service, where we highlight plaque with a special gel and remove it using our state-of-the-art polishing system.

    £120

    Diamond

    £100 per tooth

    BrightBond Care

    A premium hygiene and composite bonding maintenance treatment designed to restore the brilliance of your smile. This session includes a gentle hygiene therapy alongside a meticulous refinement and high-shine finish of your existing composite bonding, leaving your smile refreshed, smooth, and glowing.

    £129

    Please note: This is a rough guide to help patients make an informed decision on their dental care. Services are subject to change dependent on treatment planning after face to face consultation with the dental hygienist.

    All bookings require a deposit of £40. If you fail to attend the booking or you do not give a minimum of 24 hours notice to cancel/reschedule, you will be charged your deposit in full. All treatments must be paid for prior to completion.

    Anna House Logo icon

    Ready to book your oral hygine appointment?

    Call the practice today on one of the following numbers. Alternatively please use the enquiry form below.

    English

    Polish

    Spanish & Portuguese​

    Meet our experienced dental hygienist

    dental hygienist near me

    Dental Hygienist – Therapist – GDC No. 245845

    Charlotte studied the Dental Nurse National Diploma at Whipps Cross hospital in London from 2010 – 2011. She then went on to study Oral Health Science at the University of Essex where she graduated and qualified as a Dental Hygienist.

    Charlotte is very passionate about raising awareness with patients on the importance of gum health and she has extensive knowledge on oral hygiene education and motivation.

    Anna House Logo icon

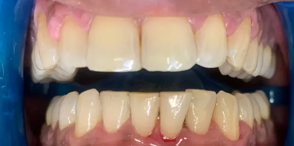
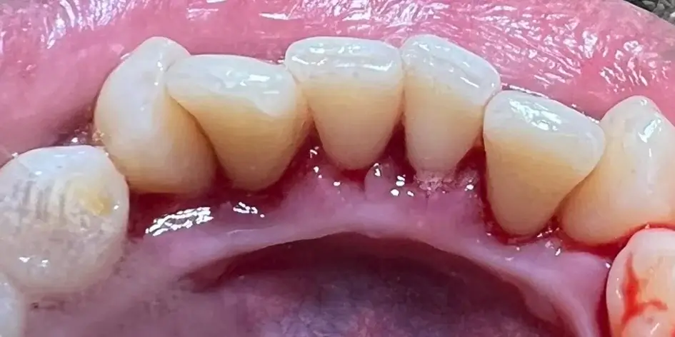
    Before and after dental hygiene cleaning

    Experience the transformative results of a tartar scale and polish cleaning at our Tottenham, London based dental practice.
    oral-before-1oral-after-1
    oral-before-2oral-after-2
    oral-before-3oral-after-3
    oral-before-4oral-after-4
    oral-before-5oral-after-5
    oral-before-6oral-after-6

    Patient reviews

    WHAT PEOPLE SAY ABOUT our premium dental hygiene services

    I recommend the best hygieniste in London (CHARLOTTE). Excellent and professional service. I am a smoker and after visiting Anna House Dental Clinic my teeth are healthy and shiny. It's just thanks to Charlotte
    View on Google Business

    Joanna

    Dr Nezami is just kind and good and also Natalia nurse 5 stars for both of them.
    View on Google Business

    Fabricia Simoes

    Thank you charlotte the hygienist
    View on Google Business

    Atta Sadeq

    I am very glad that I didn't miss the appointment because the hygienist was very professional and excellent in both communication and medical skills and through out the period of the treatment I was almost completely at ease.
    I will be looking forward to the next appointment.
    View on Google Business

    Rahman Daramola

    Amazing dentist and great team! I have been a patient with Anna House for around 5 years I think.... I have great trust in the team at Anna House and strongly recommend their services. They completely changed my approach towards oral hygiene and now I only see them for routine check ups. They know how to create a friendly and safe environment for those who are scared of dentists. Truly recommend this clinic!
    View on Google Business

    Paulina Kostyrko

    Protect and maintain your smile

    If you want to maintain healthy teeth and gums, prevent dental problems, and maintain fresh breath, then our oral hygiene services are for you. They involve advice on simple but essential practices such as brushing and flossing your teeth daily, as well as regular check-ups, cleaning and polishing. 

    If you have braces or other teeth straightening appliances, it can be difficult to keep your teeth clean. Good oral hygiene practices can help prevent decay and gum disease during orthodontic treatment.

    People with existing dental problems, such as cavities or gum disease, can benefit from good oral hygiene practices to prevent further damage and promote healing. 

    Book an appointment with our dedicated, highly experienced dental hygienist, who will be happy to help keep your teeth and gums in the best possible condition.

    Your dental hygiene appointment

    Regular oral hygiene appointments play a crucial role in maintaining dental health and preventing teeth issues before they escalate.

    Gum disease and decay are the most common reasons for adult tooth extractions, both of which are largely preventable with good, regular oral care.

    If the hygienist notices any potential problems then they will refer you to your dentist for further investigation.

    During your appointment the hygienist will remove plaque or tartar build up that has formed along the gum line and between the teeth. They will then polish the teeth to remove surface stains.

    For a deeper clean, we also offer the option of AirFlow, a treatment that will leave your teeth even cleaner and whiter.

    Frequently asked questions

    What is dental hygiene treatment?

    Dental hygiene treatment involves a professional teeth cleaning service called scaling and polishing. During your appointment, the hygienist will perform an initial dental hygiene examination. They will then scale your teeth to remove plaque or tartar build-up in areas that brushing cannot reach.

    Is dental hygiene treatment painful?

    Dental hygienist treatment is generally not painful.

    Some patients may experience mild discomfort during the scaling process, especially if there is significant plaque or tartar build-up. However, hygienists use gentle techniques and can apply a numbing gel if needed to ensure your comfort throughout the procedure.

    If you have any concerns about pain, discuss them with your hygienist beforehand.

    WHAT DOES A DENTAL HYGIENIST DO?

    Whilst most patients will visit the hygienist for a scale and polish, there are several things you can do to keep your teeth and gums healthy and look out for your overall health.  Dental hygienists can undertake the following roles and procedures:

    DENTAL CLEANING

    Dental cleaning is the most common procedure conducted by the hygienist. The dental hygienist will use various techniques to remove stains, tartar, and plaque from teeth that can improve patient health.

    DENTAL X-RAYS

    Dental hygienists will take X-rays to detect various problems early, allowing them to treat accordingly and in a timely manner. Dental X-rays can detect cavities, oral infections and even tumours.

    PREVENTATIVE CARE

    When it comes to oral health, dental hygienists believe prevention is better than cure. After cleaning, dental hygienists make a point to educate patients on preventative oral care.

    TEACH DENTAL HYGIENE BEST PRACTICE

    A big part of a dental hygienist’s role is to educate patients on oral care. They will teach patients how to brush and floss in the correct manner and explain the reasons for doing so. They will also stress the link between diet and oral health and make recommendations on toothbrushes and other oral care products.

    Why would I need to see a dental hygienist?

    Seeing a dental hygienist is essential for maintaining optimal oral health. They provide professional cleanings to remove plaque and tartar that regular brushing can’t reach.

    Hygienists can detect early signs of gum disease and other issues, allowing for timely treatment. They also offer personalised advice on proper oral care techniques.

    Regular visits to a dental hygienist contribute to better overall health, reducing the risk of conditions like heart disease and diabetes.

    DO YOU HAVE TO SEE A DENTAL HYGIENIST REGULARLY?

    Hygienists will advise on how often you should book appointments depending on your current state of oral health and risk of more serious conditions. This can range for a few weeks between appointments to annually.

    WHERE CAN YOU FIND A DENTAL HYGIENIST?

    If you’re looking for a “dental hygienist near me” and live in Tottenham, Wood Green, Walthamstow, Hornsey, Finsbury Park or any of the surrounding areas, you should be able to access our practice with ease be it by car or public transport. 

    Our friendly team of dental hygiene specialists at Anna House in Tottenham, North London has helped many satisfied patients and will be more than happy to get you on the right track to a better smile and better oral health.

    Does a dental hygienist treat gum disease?

    A dental hygienist is a dental professional who is registered with the GDC. 

    They perform professional cleanings, known as scaling and root planing, to remove plaque and tartar build-up that cause gum disease. 

    They will work alongside your dentist to develop a comprehensive treatment plan if the condition is advanced.

    Can a dental hygienist remove tartar?

    Yes, a dental hygienist can remove tartar. Our dental hygienist are trained in professional plaque and tartar removal.

    Regular cleanings by a dental hygienist not only eliminate tartar but can also help lighten stains on your teeth.

    If you’re concerned about tartar build-up, schedule an appointment with our dental hygienist for effective tartar removal and improved oral health.

     

    Our latest patient reviews via Google Business

    Keep your oral health in top condition with our scale and polish service in London

    Anna House Logo icon

    Get in touch

    Call the practice today or use an online enquiry form below.

    English

    Spanish & Portuguese​

    To keep up to date with all that’s happening at Anna House you can also follow us on social media.