Anna House Dental Practice

Slide 1
Cosmetic Bonding

Quick repairs for damaged teeth

Convenient and inexpensive treatment
Non-invasive procedure requiring little or no preparation
Transform and enhance your natural teeth

Anna House Logo icon

Cosmetic Bonding in North London

If you’re looking for ‘composite bonding near me’ to quickly transform and enhance your smile, our highly experienced cosmetic dentists can deliver stunning and long lasting results at great prices.

Cosmetic (composite) bonding is a quick, pain-free, and affordable option to enhance a patient’s smile by altering the shape and colour of teeth. Unlike crowns and veneers, teeth bonding can be completed in a single visit, and the procedure is fully reversible, making it a popular choice for many patients.

Ready to have your composite bonding?

Call the practice today on one of the following numbers. Alternatively please use the enquiry form below.

English

Polish

Spanish & Portuguese​

Why choose us for Cosmetic Bonding

Anna House Logo icon

Why choose composite bonding?

Composite bonding is a fast, affordable, and non-invasive way to improve your smile. It’s ideal for fixing chipped, uneven, or discoloured teeth, as well as closing small gaps.

The treatment uses tooth-coloured resin, carefully shaped and polished to match your natural teeth, giving you a smooth and natural-looking finish. Most treatments are completed in just one visit, with no drilling or damage to your enamel.

It’s a popular choice for anyone looking to enhance their smile without the cost or commitment of veneers.

Composite bonding is usually completed in just one visit, giving you an instant smile transformation.

Compared to veneers or crowns, bonding is a cost-effective way to improve your smile.

The resin is colour-matched to your teeth, creating a seamless and realistic result.

Perfect for closing gaps, reshaping teeth, repairing chips, and covering discolouration.

Unlike veneers, composite bonding can be removed or adjusted if needed.

Anna House Logo icon

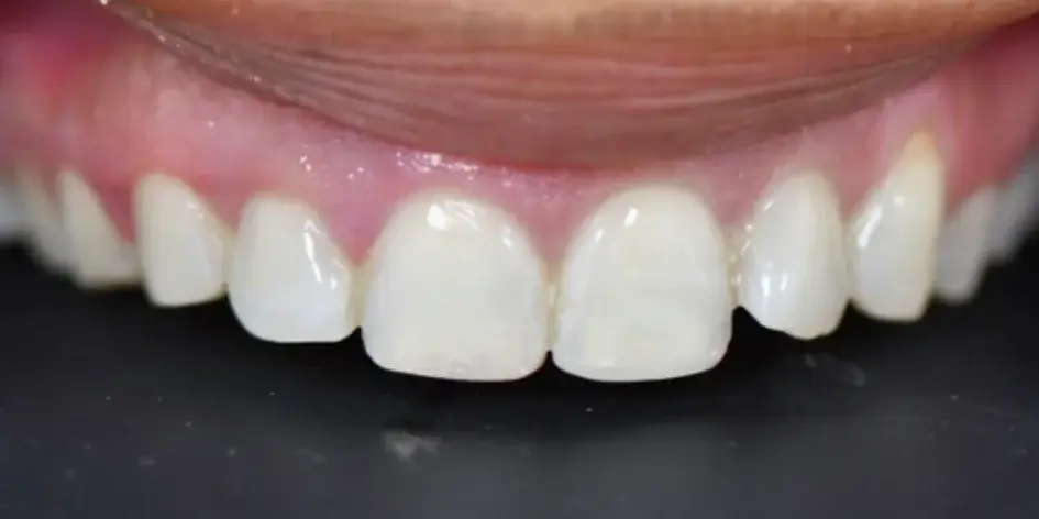
Before and after composite bonding

See the results of composite bonding treatmens at Anna House Dental.

View the before and after gallery and book an appointment today.

composite-before-1composite-after-1
composite-beforw-2composite-after-2

Meet your composite bonding expert

Dr Manyazied Nezami

Dentist – GDC No. 76657

Our cosmetic dentistry team is led by Dentist Dr Nezami.

Dr Many has a deep appreciation for the natural beauty of teeth and understands the importance of restorations that seamlessly blend with the surrounding dentition. Whether it’s a simple white filling or a complex crown or bridge, patients can trust Dr Many to deliver results that are both durable and aesthetically pleasing.

Beyond the dental practice, Dr Many has an exhilarating passion for classic car collection and motorbikes. He enjoys immersing himself in the world of vintage automobiles, appreciating their timeless design and engineering marvels. Driven by a love for the open road, he finds solace and excitement in cruising on his cherished motorcycles, feeling the freedom that only two wheels can provide.

Anna House Logo icon

Affordable Composite Bonding In North London

To help keep this treatment as affordable as possible, we ensure our tooth bonding prices are extremely competitive with other dentists in Seven Sisters, Tottenham and North London.

The exact price varies depending on the individual case and your dentist will advise you of costs before carrying out any treatment.

Composite Bonding Cost

Composite Bonding Per Tooth

£350
Anna House Logo icon

Ready to start your composite bonding?

Call the practice today on one of the following numbers. Alternatively please use the enquiry form below.

English

Spanish & Portuguese​

Anna House Logo icon

LOOKING FOR AFFORDABLE Composite NEAR ME?

We are easily accessible from the local surrounding areas and have many satisfied patients from all over North London including Walthamstow, Edmonton, Wood Green and Hornsey.

For more information on cosmetic bonding, or to book a consultation, please call one of our reception lines or fill in our online enquiry form

Composite Bonding FAQs

With proper care, composite bonding can last 5–7 years. Avoiding hard foods, not biting nails, and maintaining good oral hygiene will help extend its lifespan.

No, the procedure is usually painless and doesn’t require any drilling or anaesthetic. It’s one of the most comfortable cosmetic treatments available.

Most cases are completed in just one visit, usually within 30 to 90 minutes per tooth, depending on the complexity.

Yes, bonding is a great solution for closing small gaps without the need for braces or aligners.

Brush and floss daily, avoid staining foods and drinks, and attend regular dental check-ups. A bonding-friendly routine can keep your smile looking great for years.

Most people are suitable candidates, but your dentist will assess your teeth and bite during a consultation to ensure it’s the right option for you.

Our latest patient reviews via Google Business

High-quality tooth bonding with Anna House Dental Clinic in Tottenham, North London

Call now on one of the numbers below
or fill in our online enquiry form

Anna House Logo icon

Get in touch

Call the practice today on one of the following numbers. Alternatively please use the enquiry form below.

English

Spanish & Portuguese​

To keep up to date with all that’s happening at Anna House you can also follow us on social media.