Anna House Dental Practice

Slide 1
Teeth Straightening

Transform your smile with Invisalign
or Fast Braces

Various treatment options to suit your needs
Modern, custom-made aligners at competitive prices
Discreet, removable braces available

Anna House Logo icon

invisalign and fast braces IN TOTTENHAM

invisalign near me
fixed braces near me

If you’re looking to transform your smile with Fast Braces or need an orthodontist offering ‘Invisalign near me’, our highly experienced team in Tottenham can provide effective and affordable solutions.

We use advanced and reputable orthodontic systems that reposition and straighten teeth to bring balance back to your smile. Our Invisalign and Fast Braces options offer personalised, efficient and discreet treatments tailored to your unique needs.

Ready to start your Invisalign journey?

Call the practice today on one of the following numbers. Alternatively please use the enquiry form below.

English

Polish

Spanish & Portuguese​

INVISALIGN AND FAST BRACES

Many people have orthodontic treatment carried out during their teenage years – but now adult orthodontics are becoming more and more popular. This is largely due to the greater range of options available that lessen the impact of treatment on people’s lifestyles.

Traditional fixed braces are highly effective but are very noticeable. By reducing the treatment time or using discreet clear
aligners, teeth can be straightened without affecting the patient’s appearance to the same extent. 

Invisalign provides the convenience of clear, removable aligners, ideal for adults and teens seeking a subtle way to straighten their teeth.

Fast Braces, on the other hand, are designed for speed and efficiency, delivering results in months, not years.

Top benefits of Invisalign

Anna House Logo icon

How much does invisalign cost?

We aim to make our treatment prices as competitive as possible compared to other local dentists. 

The exact cost varies depending on the individual case and our Tottenham dentist will advise you of the fees before carrying out any treatment.

Schedule your consultation today and take the first step towards a confident, radiant smile.

Cosmetic Orthodontics (front teeth only) Cost
Invisalign - 1 arch
£2,400
Invisalign- 2 arches
£4,250
Retainer (each)
£200
Orthodontic Brace Removal (per arch)
£180
3D models
£250
Anna House Logo icon

Ready to start your Implant journey?

Call the practice today on one of the following numbers. Alternatively please use the enquiry form below.

English

Spanish & Portuguese​

Anna House Logo icon

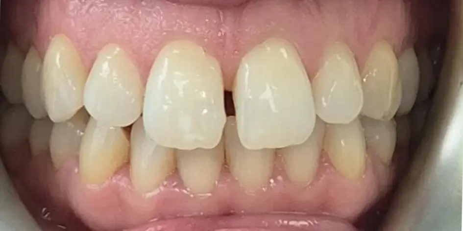
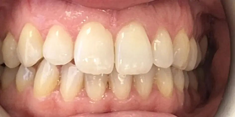
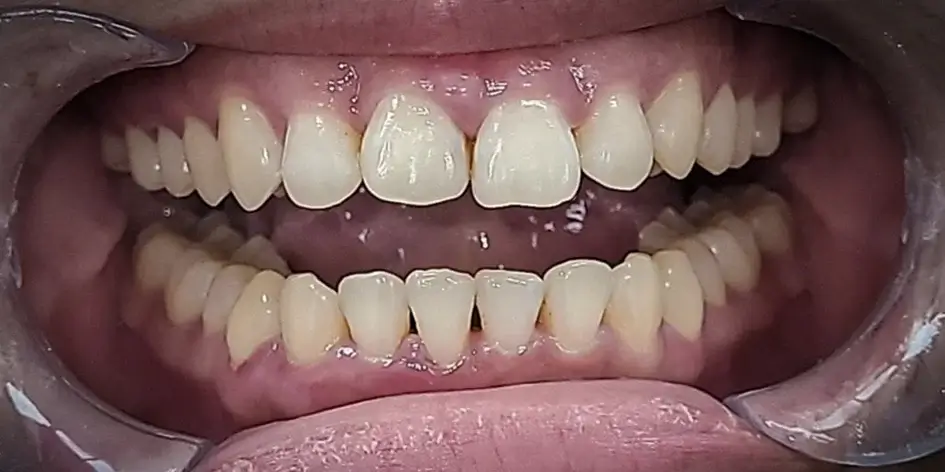
Before and after teeth straightening

See the results of a teeth straightening treatment at Anna House Dental.

View the before and after gallery and book an appointment today.

straight-before-1straight-after-1
invisalign-before-1invislign0after-1
straight-before-2straight-after-2

Dr Eduardo Kang BDS (Madrid)

Dentist – GDC No. 198161


Dr Kang qualified as dentist from the Universidad Europea de Madrid in 2010. He speaks English, Spanish and Korean. Dr Eduardo is experienced to carry out Invisalign and has a special interest in dental implants.

Reviews for our orthodontic treatments

*****
“Very, very good dental surgery. Eduardo, the dental practitoner, is always. polite, kind and very thorough. His assistant, Eileeney is likewise. Excellent service.”

*****
“I have been with the Practice for 9years and recently had my frontal teeth
straightened. Dr Jaffari and his team were so professional and went beyond the
limits to get a very good job done. I love them to bits.”

*****
“I am very happy with my teeth after having Invisalign with Dr Eduardo. They look
great and Dr Eduardo was very patient and kind throughout the treatment.”

Anna House Logo icon

Teeth Straightening FAQs

Invisalign is an orthodontic treatment that uses a series of clear, custom-made aligners to straighten teeth. It is designed to be virtually invisible and does not require the use of metal wires or brackets.

Invisalign treatment typically takes between 9 and 18 months. Some people may need treatment for as little as 6 months, while others may take longer.

Typically, you will need to change your Invisalign aligners every two weeks. However, this can vary depending on your individual situation. Some people may need to change aligners more often while others may not need to change aligners as often.

 

Our latest Google reviews

Get the smile you deserve with teeth straightening at Anna House

Call now on one of the numbers below
or fill in our online enquiry form

Anna House Logo icon

Get in touch

Call the practice today on one of the following numbers. Alternatively please use the enquiry form below.

English

Spanish & Portuguese​

To keep up to date with all that’s happening at Anna House you can also follow us on social media.