Anna House Dental Practice

Please note NHS spaces are limited and subject to availability.

LANGUAGE
English 0208 88 55 777 | Polish 0208 88 55 355 | Spanish & Portuguese 0208 80 80 080

English 0208 88 55 777
Polish 0208 88 55 355
Spanish & Portuguese 0208 80 80 080

Slide 1
Teeth Whitening

Turn heads with a brighter smile

We use high quality products to deliver stunning results
Choose between At Home or In Chair/Surgery treatment
Reliable methods that bring long-lasting results

Anna House Logo icon

Teeth Whitening in North London

Fast-Acting Professional Tooth Whitening From £100

Tired of yellow teeth or stains? Considering teeth whitening, also known as teeth bleaching?  Remove discolouration and surface stains now with our professional tooth whitening treatments that can lighten your teeth by up to 8 shades with near-instant results.

Our dedicated and experienced dentists at Anna House Dental Clinic in Tottenham just next to Seven Sisters tube station will help you achieve a brighter smile, improving your teeth’s colour and ensuring long- lasting whiteness.

Ready to start your teeth whitening journey?

Call the practice today on one of the following numbers. Alternatively please use the enquiry form below.

English

Polish

Spanish & Portuguese​

Why choose us for Teeth whitening

Anna House Logo icon

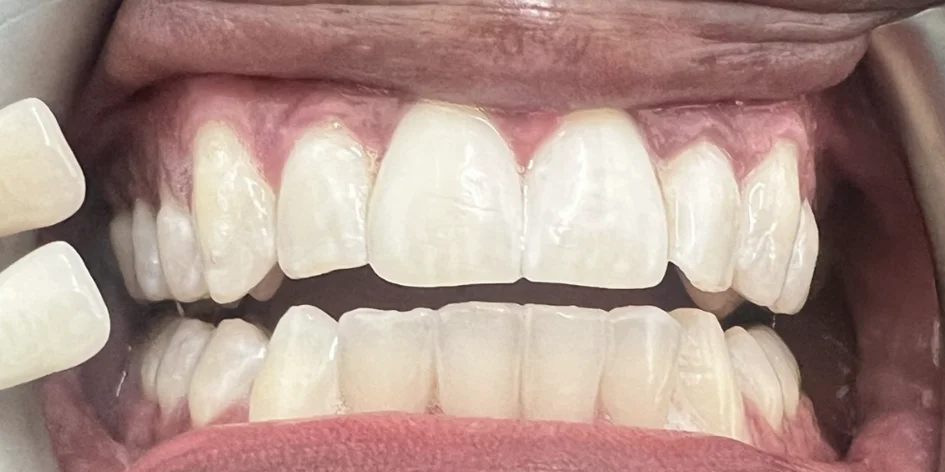
Before and after teeth whitening

See the results of a teeth whitening treatment at Anna House Dental.

View the before and after gallery and book an appointment today.

teeth-before-1teeth-after-1
Anna House Logo icon

Affordable Teeth Whitening In North London

We aim to make sure our teeth whitening prices are as competitive as possible compared to other cosmetic dentists around North London and Tottenham areas. 

The exact cost varies depending on the product and type of treatment used and your dentist will advise you of the benefits and exact fees for each option. 

Teeth Whitening Cost
Phillips home whitening

All whitening appointments are subject to the patient’s oral health assessment after a visit with the dentist. Home whitening includes advice and instruction, a set of customised dental trays and whitening syringes to be used at home.
£350
Enlighten Whitening Combo

All whitening appointments are subject to the patient’s oral health assessment after a visit with the dentist. Enlighten Evolution Whitening guarantees Vita shade B1 for every patient and delivers long-lasting
£700

Internal whitening

£250/per tooth

Diamond

£100

 Icon White Spot Removal

£250/per tooth

Please note the following:

This is just a guide to help patients make an informed decision on their dental care. Services are subject to change dependent on treatment planning after a face to face consultation.

All bookings require a deposit of £40. If you fail to attend the booking or you do not give a minimum of 24 hours notice to cancel/reschedule you will be charged your deposit in full.

All treatment must be paid for prior to completion.

 

Meet your teeth whitening expert

Dr Manyazied Nezami

Dentist – GDC No. 76657

Our cosmetic dentistry team is led by Dentist Dr Nezami.

Dr Many has a deep appreciation for the natural beauty of teeth and understands the importance of restorations that seamlessly blend with the surrounding dentition. Whether it’s a simple filling or a complex crown or bridge, patients can trust Dr Many to deliver results that are both durable and aesthetically pleasing.

Beyond the dental practice, Dr Many has an exhilarating passion for classic car collection and motorbikes. He enjoys immersing himself in the world of vintage automobiles, appreciating their timeless design and engineering marvels. Driven by a love for the open road, he finds solace and excitement in cruising on his cherished motorcycles, feeling the freedom that only two wheels can provide.

Anna House Logo icon

Teeth whitening treatment benefits:

Teeth whitening is the perfect way to revitalise your smile and boost your confidence.

It gently removes stains and discolouration, restoring the natural brightness of your teeth for a healthier, more youthful appearance.

Teeth whitening treatments are safe, effective, and tailored to your specific needs, ensuring stunning results that look completely natural.

By choosing teeth whitening, you can enjoy a radiant smile that enhances your overall look and leaves a lasting impression wherever you go.

Teeth whitening procedure can significantly improve your appearance, giving you a brighter, more youthful smile that boosts your confidence and leaves a positive, lasting impression.

Achieve a stunningly brighter smile with teeth whitening treatments that provide great, long-lasting results in a short amount of time. Remove stains and discolouration quickly and effectively, leaving you with a radiant smile you’ll love to show off.

Home teeth whitening is designed to be easy to use, allowing you to achieve a brighter smile from the comfort of your own home. With simple, effective solutions, you can enjoy professional-quality results without the need for multiple dental visits.

Our teeth whitening treatments are both safe and effective, providing noticeable results without compromising the health of your teeth or gums. Using clinically tested formulas and professional-grade techniques, you can achieve a whiter, brighter smile with complete peace of mind. Designed with safety as a priority, these treatments ensure your comfort while delivering stunning results.

Anna House Logo icon

Ready to start your teeth whitening journey?

Call the practice today on one of the following numbers. Alternatively please use the enquiry form below.

English

Spanish & Portuguese​

Teeth Whitening FAQs

Teeth whitening is highly effective at removing stains and discolouration, leaving your teeth visibly brighter and whiter. Professional treatments can lighten teeth by several shades, depending on the type and severity of staining. Results are often noticeable after just one session and can last for months with proper care, making it an excellent choice for achieving a radiant, confident smile.

The results of teeth whitening can last anywhere from several months to a few years, depending on your lifestyle, diet, and oral hygiene habits. Avoiding staining foods and drinks can help maintain your brighter smile for longer.

Yes, teeth whitening is completely safe when done correctly. Professional treatments, either at the dentist or with their guidance, are designed to protect your enamel while giving you a brighter smile. If you have any concerns, our dentist will recommend the best options for your individual needs, ensuring your teeth stay healthy and strong throughout the process.

You can see noticeable results from teeth whitening quite quickly! With professional in-office treatments, many people see a brighter smile after just one session. At-home whitening kits may take a few days to a couple of weeks to show significant results. The exact timeline depends on the type of treatment you choose and the level of staining on your teeth.

Teeth whitening can dramatically brighten your smile, but it’s important to have realistic expectations. The results depend on your natural tooth colour and the type of stains being treated. While whitening can make your teeth several shades lighter, achieving a “perfectly white” look may not be possible for everyone. Our dentist will help set clear goals based on your teeth and recommend the best treatment to get you as close to your ideal smile as possible.

Teeth bleaching treatments can sometimes cause temporary sensitivity, but it’s usually mild and short-lived. This happens because the whitening agents can make your teeth more reactive to temperature changes during the treatment process.

If you do experience sensitivity, it typically subsides within a few days. Our dentist will recommend desensitising toothpaste or other solutions to make the process more comfortable for you.

You can search online for “internal bleaching dentist near me” or visit your local dental clinic’s cosmetic dentistry section. Many practices offer this treatment as part of their advanced whitening or restorative services. Always check that the dentist has experience with root-treated teeth whitening. If you’re concerned about a darkened tooth, you can book a consultation with our dental team. We’ll assess whether internal bleaching is right for you and explain all available options to restore your smile naturally.

Our latest patient reviews via Google Business

Smile with confidence! Discover our safe and effective teeth whitening treatments.

Call us or fill in our online enquiry form

Anna House Logo icon

Get in touch

Call the practice today on one of the following numbers. Alternatively please use the enquiry form.

English

Spanish & Portuguese​

To keep up to date with all that’s happening at Anna House you can also follow us on social media.